Врачи Елизаветинской больницы в Петербурге спасли пациента с арбалетной стрелой в позвоночнике

В Санкт-Петербурге 38-летний местный житель случайно подстрелил себя из арбалета.

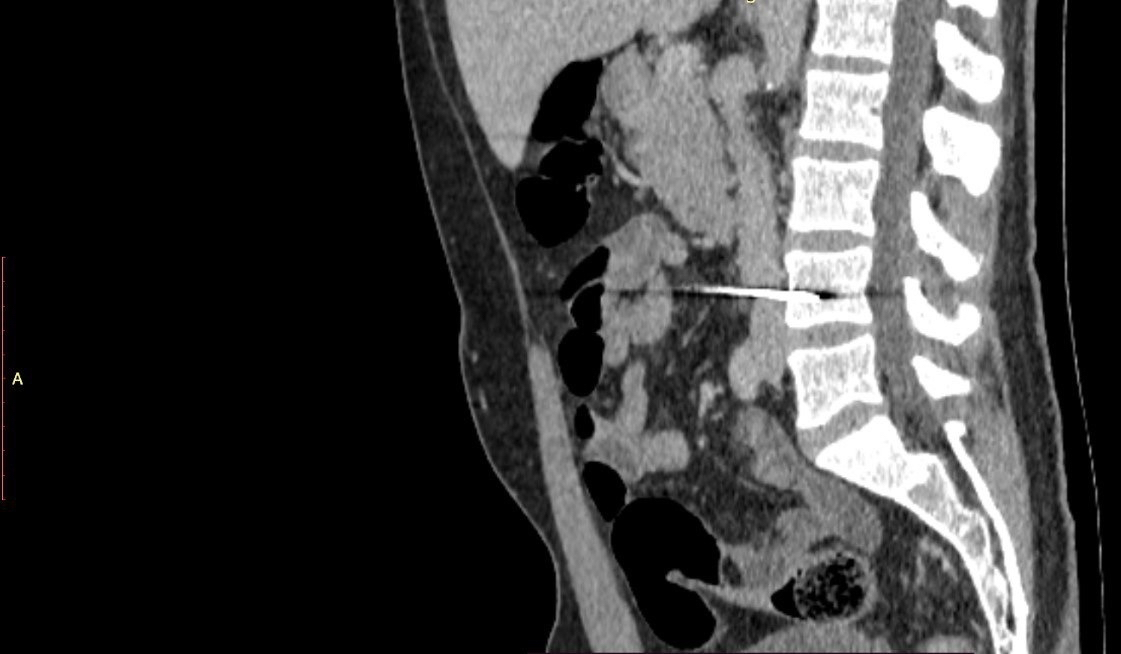
В Санкт-Петербурге 38-летний местный житель случайно подстрелил себя из арбалета. Стрела попала в позвоночник мужчины и повредила нижнюю полую вену. Пострадавшего спасли сосудистые хирурги Елизаветинской больницы.

Сначала мужчина поступил в один из стационаров города. Врачи диагностировали у него проникающее ранение живота и заподозрили, что стрела от арбалета повредила нижнюю полую вену. В больнице сосудистого хирурга не оказалось, поэтому пациента экстренно перевели в Елизаветинскую больницу.

Врачи выяснили, что стрела прошла через нижнюю полую вену и застряла в теле поясничного позвонка. Спинной мозг пациента не был поврежден. Хирурги Елизаветинской больницы провели операцию через срединную лапаротомию. Они сделали разрез живота в направлении от грудной клетки к пупку.

Вдоль раневого канала был осуществлен доступ к нижней полой вене, которая в дальнейшем была полностью выделена от окружающей ткани. Снаряд удалили и отверстие в вене аккуратно ушили. Следующим важным этапом была ревизия кишечника: тонкой и толстой кишки и всех органов брюшной полости. Были выявлены три отверстия в брюшине, которые также аккуратно были ушиты. Леонид Макар, сердечно-сосудистый хирург кардиохирургического отделения №1

Пациенту очень повезло: очень часто ранение нижней полой вены приводит к летальному исходу из-за обширной потери крови. Его выручила стрела, которая затампонировала отверстие в магистральном сосуде. Мужчину спасли врачи Елизаветинской больницы, которые провели экстренную операцию с минимальной кровопотерей.

В настоящий момент 38-летний мужчина идет на поправку, - рассказали в понедельник, 4 декабря, в пресс-службе Елизаветинской больницы. Его раны быстро заживают. Пациент готовится к выписке.

Спасибо хирургам, я уже почти восстановился. Могу сам передвигаться и принимать пищу. По своей же неаккуратности допустил серьезное ранение, а теперь, можно сказать, получил в жизни второй шанс. Пациент Елизаветинской больницы

Фото: Елизаветинская больница

Последние новости

Как понять, что ты вырос: 10 признаков финансовой взрослости

Не только счета и кредиты делают нас взрослыми - иногда всё начинается с осознания того, что деньги больше не управляют нами, а мы управляем ими.

Психология обмена: почему нам так больно отдавать рубли за валюту

Для тех, кто считает, что аксессуар должен заявлять о себе — кошелёк с валютой может заявить громче любого логотипа.

«Выборжец» планирует открыть агротехнологические классы

    В «Янинском ЦО» прошло совещание, на котором обсуждался вопрос создания профильных классов в сфере сельского хозяйства.

Пошаговое руководство: как грамотно оформить первый микрозайм

Как взять кредит с умом и не пожалеть об этом спустя пару месяцев

Здесь вы можете узнать о лучших предложениях и выгодных условиях, чтобы купить квартиру в Стерлитамаке

Комментарии (0)

Добавить комментарий

Ваш email не публикуется. Обязательные поля отмечены *